3Д СНИМАЊЕ
Кранекс 036 рендген центар са поносом Вам представља нову услугу ,,3D CBCT’’ снимања зуба и краниофацијалног масива пацијента.
Једини у Краљеву пружамо могућност сегментираног 3Д снимања са одабиром више величина 3Д видног поља.
,, ALARA’’ принцип: Зрачимо само онолико колико је
неопходно за ваљану дијагностику!
Различите резолуције снимања пружају могућност терапеуту да ограничи дозу коју пацијент прима, у складу са наменом снимања:
•
Стандардна: брзо снимање са ниском дозом зрачења.
•
Висока: за бољи приказ танких анатомских детаља.
•
Еndo: специјализовано за ендодонцију, само за поље 6x4цм.
•
Low-Dose: протокол ниске дозе зрачења, ниска резолуција, само за постоперативна праћења и контролу. Не користи се за дијагностику и планирања.
Нове услуге 3Д снимања:
• Читање 3Д снимка од стране спец. оралне/максиофацијалне/ОРЛ хирургије.
• Инплант планирање по жељеној регији од стране оралног хирурга.
• 3Д снимак гипсаног модела и његова дигитализација у DICOM/STL формат.
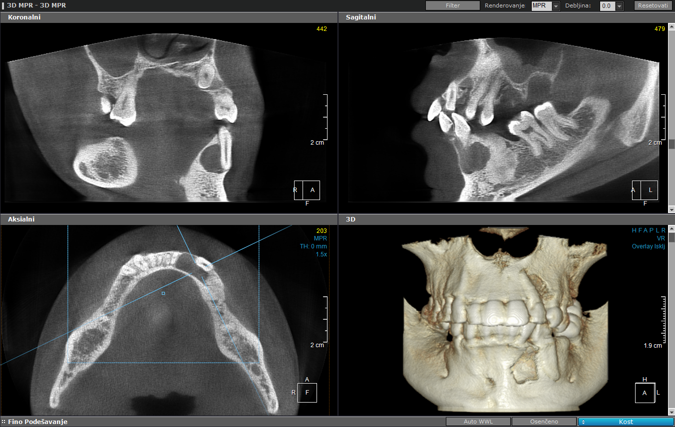
Снимање се издајe на 3Д софтверу
ONDEMAND3D:
•Пацијнту се предаје снимак наснимљен на УСБ меморији.
• Докторима се снимак прослеђује на радиолошки Cloud систем
• или шаљемо преко мејла са интегрисаним ONDEMAND3D програмом (за докторе који нису повезани на на радиолошки Cloud систем).
У оквиру софтвера се добија радиолошки и дентални модул са опцијом планирања имплантата и базом свих тржишно доступних имплантата.
Могућност снимања отиска у 3Д за генерисање дигиталног отиска и навигационе хирургије / имплантологије
,, ONDEMAND3D’’ једини 3Д софтвер преведен на српски језик!
Нудимо бесплатно коришћење јединственог радиолошког Cloud система базе рендген снимака за све наше кориснике.
Од сада сваки стоматолог и ординација се потпуно бесплатно могу повезати на наш сервер и бити у прилици да снимке својих пацијената (интраорал, 2Д екстраорал и/или 3D CBCT) имају доступне на свом рачунару одмах чим је пацијент снимљен. И не само то. Кранекс 036 је за све заинтересоване обезбедио потпуно бесплатну инсталацију софтвера за 2Д/3Д дијагностику као и за имплант и хируршко планирање са протетским навођењем (интеграција постојећег интраоралниг скенера у радни процес). Софтвер поседује базу свих тржишно доступних имплантата.
Такође у сарадњи са фирмом
Cranio DentX из Београда обезбеђена је директна обука за рад на софверу код сваког корисника. Уговор о пружању подршке свим стоматолозима и ординацијама за рад са софтвером за 2Д и 3Д дијагностику и имплант планирање смо обезбедили потпуно бесплатно за све кориснике услуга нашег Кранекс 036 центра
И све то поптуно бесплатно за све наше кориснике...
Више информација
Контактирајте наше особље и закажите презентацију услуга и начина сарадње.
УПУТ ЗА 3Д СНИМАЊА
Преузми
3Д СНИМАЊА

6x4цм, стандардна резолуција

6х4цм, ENDO резолуција

6х8см, висока резолуција

6х8цм, протокол ниске дозе

11x8цм, стандардна резолуција

3Д снимак гипсаног модела и дигитализација у DICOM / STL формат.