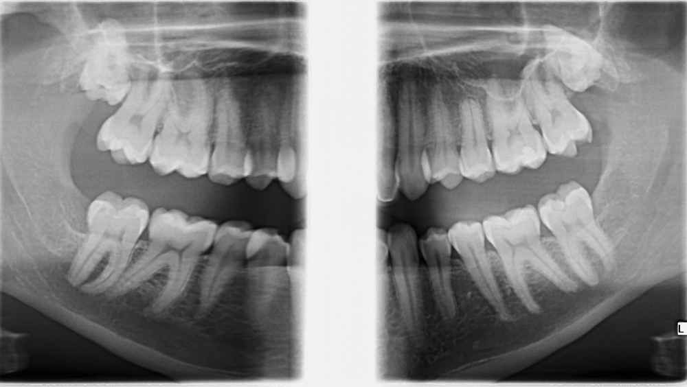
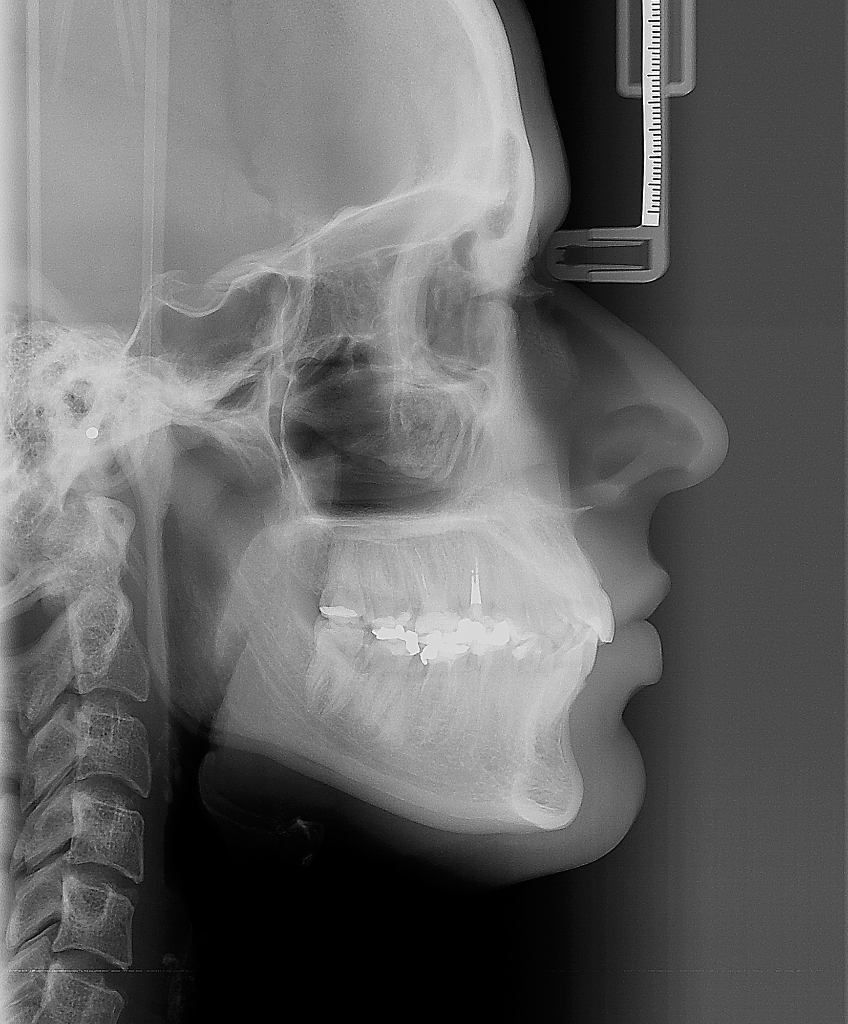
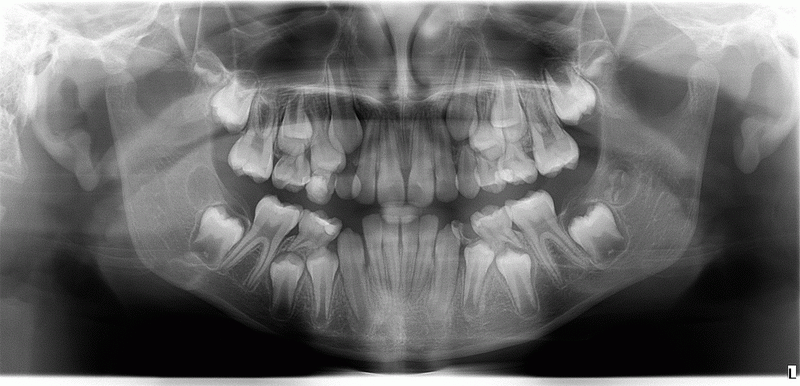
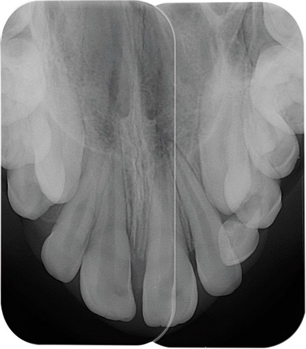
СЛИКЕ