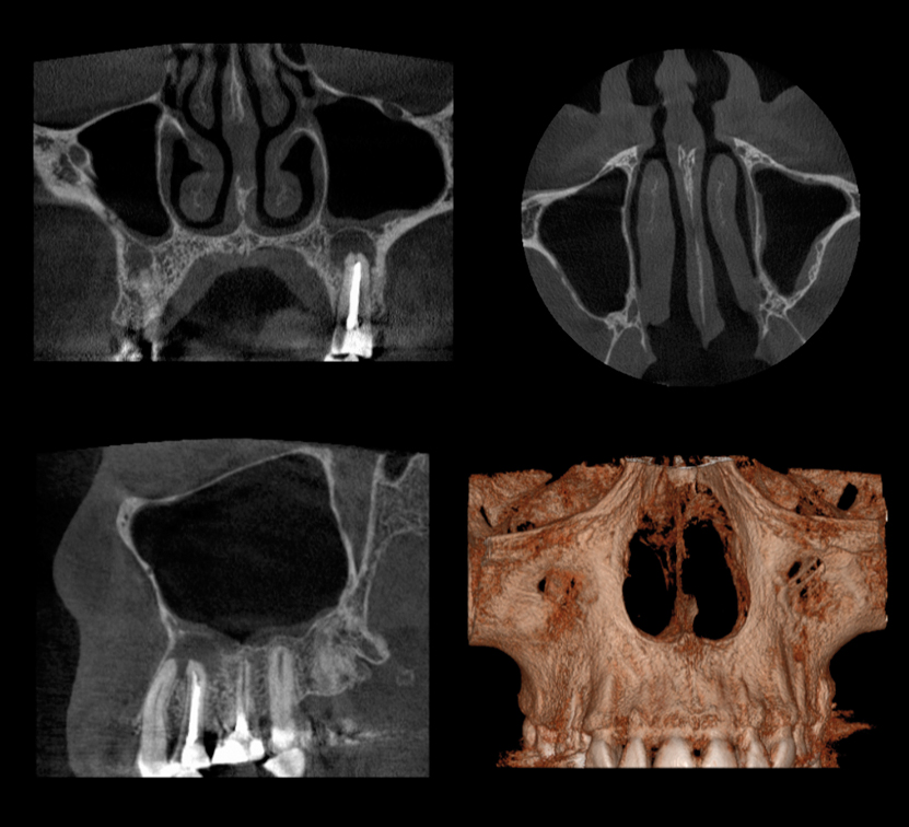
3Д СНИМАЊЕ